在生物觀察領域,明美數碼成像系統(tǒng)都能與各款顯微鏡配套,將顯微鏡中的圖像不失真,清晰的反映在電腦屏幕中,使研究員對樣本更好地觀察研究。
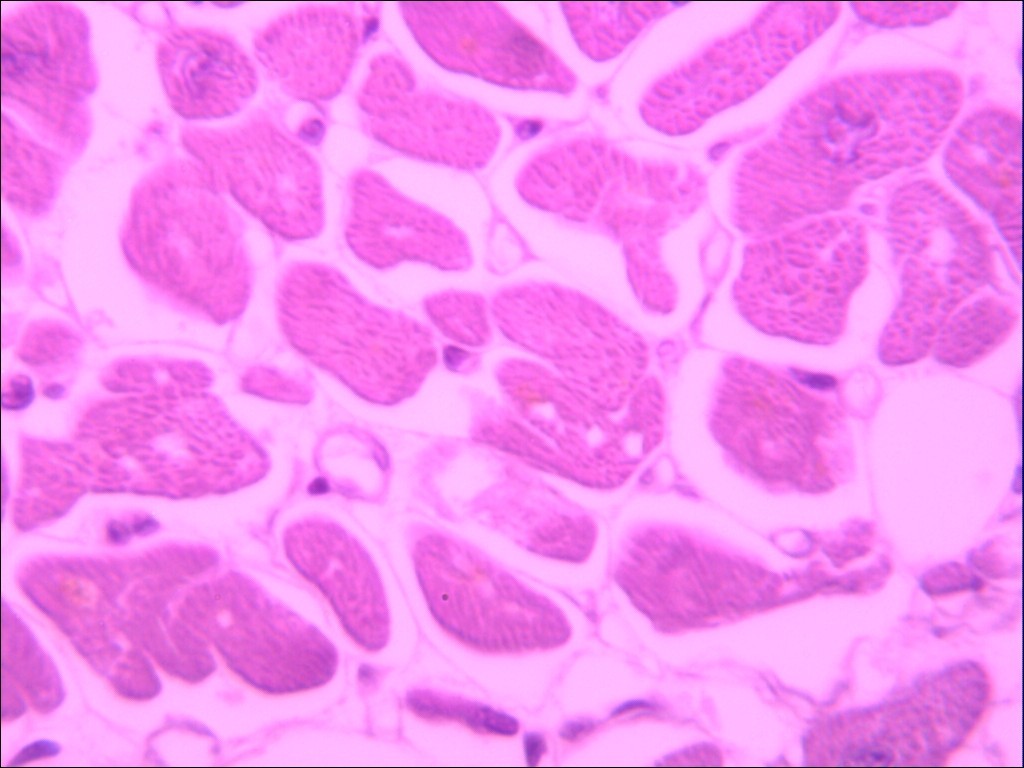
在秦皇島某儀器公司,客戶需要顯微鏡的成像清晰,也需要成像系統(tǒng)的色彩還原程度高,以便來觀察生物細胞組成。以下為實拍圖片??梢钥闯觯髅缊D像采集設備不僅可以清晰成像,而且能夠反映真實的顏色,在顯微鏡配套上明美數碼成像系統(tǒng)只需配套不同的接口,均能與各大進口,國產品牌的顯微鏡進行配套。
[實拍顯微圖片]

[明美提供的儀器]
MD50高分辨率顯微數碼成像裝置

MD50 數碼成像裝置可以連接到任何標準的三目生物顯微鏡、體視顯微鏡、金相顯微鏡上,拍攝數碼顯微圖象,它具有傳輸速度快,色彩還原好,圖象清晰,存儲方便能優(yōu)點,可以廣泛的應用于工業(yè)品管、教學研究、材料分析、臨床檢驗,機器視覺等領域。MD50可以使你原本繁雜的工作變的輕松、有趣和高效。
這里不作詳細介紹,如想了解此熒光顯微鏡|顯微鏡攝像頭|顯微鏡接口,請點擊此鏈接:http://www.huikeju888.com/md50.htm
[客戶使用效果反饋] 通過明美圖像采集設備的500萬像素熒光顯微鏡|顯微鏡攝像頭|顯微鏡接口不僅提供精確的色彩還原,高清晰實時圖像顯示,可以看出,不僅可以清晰成像,色彩還原,邊緣的成像的效果都非常的好,也得到客戶的認同。
我司數碼成像系統(tǒng)產品能都與各大品牌顯微鏡配套,廣州明美專業(yè)致力于為客戶配套顯微成像方案。
相關文章閱讀推薦: